Круп
| Круп | |
|---|---|
| | |
| МКБ-10 | J05.0 |
| МКБ-9 | 464.4 |
| DiseasesDB | 13233 |
| MedlinePlus | 000959 |
| eMedicine | ped/510 emerg/370 radio/199 |
| MeSH | D003440 |
Круп (скотс. croup), острый ларинготрахеобронхит (англ. acute laryngotracheobronchitis) — это респираторный синдром, форма обструкции верхних дыхательных путей у детей. Круп чаще всего встречается у детей в возрасте от 6 месяцев до 6 лет. Типичная причина возникновения крупа — вирусная инфекция верхних дыхательных путей, преимущественно парагрипп. Механизм возникновения — в результате воспаления сужается просвет гортани. Круп лечится поддерживающим уходом (сиптоматическое лечение), в тяжёлых случаях назначают системные глюкокортикоиды и другие препараты[1].
Клинические проявления
Круп характеризуется грубым лающим кашлем и тошнотой на фоне повышения температуры тела. Более серьёзные случаи сопровождаются затруднённым дыханием, обусловленным обструкцией дыхательных путей.
Инфекционный агент первоначально поражает носоглотку, далее распространяясь на гортань и верхние отделы трахеи (фаринголаринготрахеит). Инфекционный процесс сопровождается воспалением и отёком дыхательных путей, в том числе голосовых складок гортани. В редких случаях воспаление может распространяться на нижние дыхательные пути с соответствующими проявлениями (свистящими хрипами при аускультации, альвеолярной гиповентиляцией и другими)[2].
Лающий кашель (иногда описываемый как «тюлений лай») является отличительной чертой крупа. Во время плача может выслушиваться на расстоянии связанный с дыханием хрип. Если у ребёнка хрип слышен и в спокойном состоянии, это говорит о приближении критического сужения дыхательных путей.
При диагностике крупа педиатру необходимо рассмотреть и исключить другие возможные причины затруднённого дыхания — такие, например, как попадание в дыхательные пути инородного тела.
Сигналы ухудшения состояния:[источник не указан 3765 дней]
- непрекращающееся слюноотделение;
- синеватый цвет кожи (в том числе цианоз губ);
- одышка (около 80 дыхательных движений в минуту).
| 0 | 1 | 2 | 3 | |
|---|---|---|---|---|
| Стридор | Нет | Только при активации | Легкий в покое | Сильный в покое |
| Ретракция стенки грудной клетки | Нет | Легкая | Средняя | Выраженная |
| Глубина вдоха | Нормальная | Незначительно уменьшенная | Уменьшенная средне | Заметно уменьшенная |
| Цианоз | Нормально | Нормально | Нормально | Цианоз |
| Уровень сознания | Нормальный | Возбужденный при активации | Возбужденный в спокойном состоянии | Летаргический |
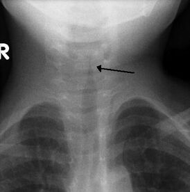
Может быть информативна рентгенография гортани. У детей с крупом при рентгенографии в боковой проекции может визуализироваться отёк гортаноглотки с сужением подскладочного пространства гортани (в прямой проекции имеющим вид классического симптома «остро заточенного карандаша»)[3].
Спастический круп
От крупа следует отличать спастический (схваткообразный, судорожный) круп, который является совершенно другим заболеванием. Спастический круп наблюдается обычно ночью и может быть рецидивным. Характеризуется неожиданным появлением охриплости, лающего кашля и стридора. Это происходит когда ребёнок оказывается в условиях холодного и влажного воздуха. Этиология этого явления неизвестна, предполагается что это является реакцией на вирусную инфекцию или аллергическим феноменом[2].
Ложный и истинный круп
Принято различать истинный и ложный круп.
Истинный круп характеризуется воспалительным процессом в области голосовых связок, вызванным попаданием инородного тела либо отслоенными фибринозными наложениями (при дифтерии).
Ложный круп наблюдается при ОРЗ (например, грипп, парагрипп). При ложном крупе воспалительный процесс захватывает не только область голосовых связок, но и слизистую гортани, располагающуюся ниже, вплоть до трахеи и бронхов.
Причины
Наиболее частой причиной возникновения крупа является вирус парагриппа (1 и 2 типов), и другие вирусные инфекции (респираторный синцитиальный вирус человека, грипп A и B, аденовирусная инфекция, риновирусы, вирусы Коксаки, корь, вирус простого герпеса первого типа). Также причиной крупа могут быть метапневмовирус, коронавирус, которые чаще являются причиной бронхиолита. Наиболее тяжёлые формы обусловлены заболеванием гриппом рода A, респираторным синцитиальным вирусом человека, аденовирусной инфекцией[2]. Чаще всего оно наблюдается осенью, хотя может возникать в любое время года.
Затруднённое дыхание является скорее следствием воспаления дыхательных путей в результате инфекции, нежели следствием самой инфекции. Обычно это происходит у маленьких детей в силу того, что их дыхательные пути меньше и иные по форме, чем дыхательные пути взрослых, что делает их более восприимчивыми. Также существует элемент генетической предрасположенности, поскольку в некоторых семьях дети болеют чаще, чем в других.[источник не указан 2238 дней]
Лечение
В разделе не хватает ссылок на источники (см. также рекомендации по поиску). |
Лечение крупа зависит от тяжести симптомов.
Много лет для лечения крупа используется вдыхание увлажнённого воздуха, для этого были разработаны и широко использовались сначала крупяные чайники, затем — палатки. Авторитетами было постулировано, что сильно увлажнённый воздух (туман) успокаивает воспалённую слизистую глотки, тем самым уменьшается воспаление дыхательных путей, а также расжижает секрет слизистых, что должно облегчить очистку дыхательных путей больного ребёнка. В целом вдыхание влажного воздуха может несколько облегчить обструкцию дыхательных путей и ребёнок чувствует себя более комфортно. При этом при сильном обдуве лица влажным воздухом ребёнок чувствует себя некомфортно[1].
В действительности назначение влажных ингаляций при крупе не оправдано, они не имеют наблюдаемого лечебного эффекта. Другими словами, ингаляция («терапия туманом») не эффективна при лечении крупа[1][4][5].
Мягкий круп без хрипов или с хрипами во время возбуждённого дыхания и простой кашель могут требовать просто наблюдения врача. В случае, если ребёнок слишком вял или, напротив, излишне возбуждён, если пальцы и губы приобретают синюшный оттенок, если ребёнок находится в вынужденном положении сидя и при дыхании западает надключичная область — требуется экстренный осмотр врача и госпитализация.
При ложном крупе средней степени тяжести используются глюкокортикоидные гормоны, преимущественно, перорально, при невозможности глотания — парентерально. При тяжёлом крупе наиболее эффективный метод с наибольшей доказательной базой, позволяющий избегать интубаций и трахеостомий — ингаляция раствора адреналина посредством небулайзера. В то же время отмечается, что применение адреналина оценивается по-разному. Некоторые исследования показывают, что при длительном применении эффект от адреналина не отличается от эффекта плацебо. Другие исследования показывают, что применение ингаляций адреналина оказывает сильное воздействие, которое длится несколько часов и потом респираторный дистресс возобновляется. Поэтому рекомендуется при применении адреналина продолжить наблюдение за больным в течение 3-4 часов для предупреждения возвращения стридора или его усугубления. Противовоспалительное свойство дексаметазона начинает проявляться через несколько часов, до этого времени для снижения симптомов можно применять адреналин.
Дети со средней или тяжёлой степенями развития крупа обычно госпитализируются для наблюдения, в большинстве случаев не более чем на сутки. Госпитализация рекомендована в случаях респираторного дистресса, при сильном стридоре в состоянии покоя, и когда ребёнок не может самостоятельно принимать пищу. Также госпитализация необходима при бактериальной инфекции такой как эпиглоттит и трахеит.
Около 10 % детей с крупом может понадобиться эндотрахеальная интубация. Индикатором для этого может служить сильный респираторный дистресс, изменение психического состояния, гипоксия и гиперкапния. Главное осложнение эндотрахеальной интубации у детей с крупом является подсвязочный стеноз, возникающий из-за того, что эндотрахеальная трубка может травмировать воспаленный участок дыхательного пути. Эндотрахеальная трубка должна быть удалена немедленно как потребность в ней отпадет[3].
| Степень | Состояние | Лечение |
|---|---|---|
| ≤ 4 | Легкое | Ингаляционная терапия и дексаметазон 0,6 мг/кг перорально. Амбулаторное наблюдение |
| 5-6 | Легкое — среднее | Дексаметазон 0,6 мг/кг перорально умеренная ингаляционная терапия. Если наблюдается улучшение состояния или ребёнок старше 6 мес. и семья может обеспечить надлежащий уход то амбулаторное наблюдение. |
| 7-8 | Среднее | Дексаметазон 0,6 мг/кг перорально или внутримышечно. Racemic epinephrine (эпинефрин) и госпитализация. |
| ≥ 9 | Тяжёлое | Racemic epinephrine (эпинефрин), дексаметазон 0,6 мг/кг перорально или внутримышечно, кислород и палата интенсивной терапии. |
Исследования показывают эффект ингаляций будесонида для понижения дыхательной недостаточности и снижения степени крупа при достаточно высокой цене его использования (по побочному действию). Продолжительная терапия стероидами не рекомендована. Лечение антибиотиками не начинается до тех пока не будет выявлена бактериальная инфекция[3].
Прогнозирование
Вирусный круп обычно является самокупирующимся и редко может приводить к смерти в результате полной закупорки дыхательных путей. Симптомы могут наблюдаться на протяжении семи дней, но обычно пик заболевания приходится на второй день.
См. также
Примечания
- ↑ 1,0 1,1 1,2 Neto, G. M. A randomized controlled trial of mist in the acute treatment of moderate croup : [англ.] / G. M. Neto, O. Kentab, T. P. Klassen … [et al.] // Academic Emergency Medicine : журн. — 2002. — Vol. 9, no. 9. — P. 873–879. — doi:10.1111/j.1553-2712.2002.tb02187.x. — PMID 12208675.
- ↑ 2,0 2,1 2,2 2,3 2,4 Berkowitz, 2014, p. 360.
- ↑ 3,0 3,1 3,2 Berkowitz, 2014, p. 361.
- ↑ Moore&Little, 2006.
- ↑ Singh et al., 2017.
Литература
- Круп / Нисевич Н. И., Блюменталь К. В. // Большая медицинская энциклопедия : в 30 т. / гл. ред. Б. В. Петровский. — 3-е изд. — М. : Советская энциклопедия, 1980. — Т. 12 : Криохирургия — Ленегр. — 536 с. : ил.
- Berkowitz’s Pediatrics : A Primary Care Approach : [англ.] / Editor Carol D. Berkowitz (MD, FAAP). — 5th ed. — American Academy of Pediatrics, 2014. — 1150 p. — ISBN 978-1610023726.
- Moore, M. Humidified air inhalation for treating croup : [англ.] / M. Moore, P. Little // The Cochrane Database of Systematic Reviews. — 2006. — No. 3 Art. CD002870. — doi:10.1002/14651858.CD002870.pub2.. — PMID 16855994.
- Singh, M. Heated, humidified air for the common cold : [англ.] / M Singh, M. Singh, N. Jaiswal … [et al.] // The Cochrane Database of Systematic Reviews. — 2017. — Vol. 8, no. 8 Art. CD001728. — doi:10.1002/14651858.CD001728.pub6.. — PMID 28849871. — PMC 6483632.
Ссылки
- Вирусный круп у детей Архивная копия от 30 мая 2007 на Wayback Machine
- Вирусный круп, статья профессора Блюменталя
- Все о крупе и его лечении у детей
- Федоров А. М., Таточенко В. К. Рекомендации по лечению острых респираторных заболеваний. (недоступная ссылка)
- Mazza D, Wilkinson F, Turner T, Harris C Evidence based guideline for the management of croup The Royal Australian College of General Practitioners (RACGP) (недоступная ссылка)